Lava™ Precision Solutions

Hệ thống 3M™ ESPE™ Lava™ Plus dựa trên công nghệ màu đặc biệt của 3M™ ESPE™ - màu sắc không đến từ bề mặt mà xuất phát từ sâu bên trong phục hình. Công nghệ độc đáo được áp dụng trong chất lỏng nhuộm Lava Plus Dyeing cũng góp phần bảo tồn độ trong mờ sau khi nhuộm màu mà không phải hy sinh độ cứng.

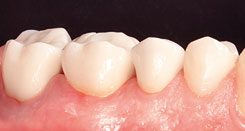
Lava™ Premium High Translucency All-Zirconia Crown (A2)
Lava™ Premium zirconia is the beautifully durable material of choice.
1. Compared to other shaded zirconias.
2. Data on file.

Single Crown 3-unit bridge
Source: 3M™ ESPE

Cầu răng với nhịp cong và dài Cầu dán răng trước
Source: 3M™ ESPE

Primary Crown / telescope Build-up for two-piece abutment
Source: 3M™ ESPE
1. Mão liền lên tới 4 đơn vị.
2. Cầu 5+ đơn vị (lên đến 48mm) với tối đa 2 nhịp ở răng sau và tối đa 4 nhịp ở răng trước.
3. With a maximum of 1 pontics at the position of a premolar or incisor.
4. Tests have proven: Lava™ Zirconia shows a sufficient strength for this indication. However, this type of indication overall can have a higher failure risk due to de-cementation and secondary caries regardless of manufacturer. Please refer to national and regional dental associations for more information.
Lava Plus trong mờ cao được đặt trong cuộc thử nghiệm với các nha sĩ và phòng lab.
Các lab cho biết Lava Plus có độ thẩm mỹ tổng quan tốt nhất, với độ trong mờ cao hơn đáng kể so với các đối thủ cạnh tranh khác mà không hề suy giảm độ cứng. Đây là hệ thống DUY NHẤT tương thích với bảng màu VITA Classic A1-D4 và bleached.
Các nha sĩ tham gia cuộc đánh giá cho biết Lava Plus trong mờ cao mang đến sự lựa chọn thẩm mỹ tốt nhất từng có, với nhiều lựa chọn hơn cho các phục hình toàn zirconia và đắp sứ.
So sánh độ trong mờ của các zirconia có nhuộm màu và không nhuộm màu (%)

The height of the bar represents the level of translucency.
Source: 3M™ ESPE™ internal data
*Shaded with Zirkonazahn Prettau Color Liquid A
So sánh độ bền uốn 2 trục của zirconia và lithium disilicate. Các thông số cho thấy sự khác biệt có ý nghĩa thống kê.

Source: Wang F, Takahashi H. Translucency and Biaxial Flexural Strength of Dental Ceramics. J Dent Res 91 (Spec Iss A): #422, 2012

Source 1: J. Geis-Gerstorfer, and C. Schille. Influence of Surface Treatment on Wear of Solid Zirconia (LAVA), J Dent Res 90 (Spec Iss A): #145873,2011
Source 2: Prof. J. Geis-Gerstorfer, C. Schille. Wear behavior measured with a pin-on-disk apparatus ABREX against 6mm Steatite balls as antagonists (45°, 5 N load, 5000 cycles, water). University of Tübingen, Germany
* Lava™ Premium is internationally known as Lava™ Plus
Từ khi được giới thiệu vào năm 2001, Lava Zirconia đã trở thành một câu chuyện thành công lớn. Hàng triệu phục hình đã được sản xuất và Hệ thống Lava đang hoạt động trên hơn 40 quốc gia.
Lava Zirconia là một trong những vật liệu được nghiên cứu nhiều nhất với hơn 100 bài nghiên cứu được xuất bản bởi các nhà khoa học trên thế giới. Lava đại diện cho các phục hình có độ cứng cao với độ khít sát hoàn hảo và thẩm mỹ tuyệt đối. Do bởi độ tin cậy đã được kiểm chứng này, 3M ESPE đã cung cấp chính sách bảo hành 15 năm từ ngày gắn copings hoặc các cấu trúc làm từ Lava Zirconia.
Nếu được sản xuất tại trung tâm Milling Lava ủy quyền hoặc các dụng cụ Lava được chứng nhận trong sự tuân thủ nghiêm ngặt các chỉ định và chỉ dẫn đã được chứng minh cho việc sử dụng cầu và mão Lava. Chỉ các chỉ định được chứng minh cho Lava Zirconia là được bảo hành, và không bao gồm bất kỳ sự nứt vỡ do tai nạn hoặc sử dụng sai. Các chi phí như chi chí mài chỉnh cùi răng sẽ không được bao gồm.
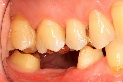
Hình 1: Tình trạng ban đầu: mão kim loại không đủ trên răng 26 và 27, miếng trám composite thiếu tại răng 23, 24 và 25.
Source: 3M™ ESPE

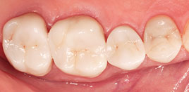
HÌnh 2+3: Kết quả sau cùng: mão zirconia toàn bộ Lava Plus trong mờ cao ở răgn 25, 26 và 27. Các phục hình được nhuộm màu tùy biến với dung dịch nhuộm Lava Plus Liquid và cá nhân hóa với dung dịch hiệu ứng Lava Plus Effect Shade. Răng 23 và 24 được trám với Filtek Z350XT.
Source: 3M™ ESPE

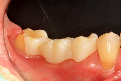
Hình 1: Tình trạng ban đầu: phục hình tạm không đủ tại răng 45-47

Hình 2: sửa soạn với khoảng không gian liên hàm nhỏ

Hình 3: Tình trạng sau cùng: Cầu 3 đơn vị monolithic Lava Plus ở răng 45-47. Thành phục hình mỏng ở các điểm chạm chỉ 0.5mm

© 2013 Lava™, All Rights Reserved. Thông Tin Pháp Lý | Chính Sách Bảo Mật

