3M ESPE Dental Professionals

Lava Ultimate là resin nano ceramic - vật liệu CAD/CAM thế hệ mới với chức năng độc đáo. Vật liệu này có độ đàn hồi tương ứng với ngà – thấp hơn độ giòn của sứ thủy tinh hoặc các loại sứ kim loại PFM. Điều này cho phép Lava™ Ultimate hấp thụ lực nhai tốt hơn và giảm tác động lên phục hình CAD/CAM. Đây là một lợi điểm rất đặc biệt dành cho các mão trên implant. Độ bền ấn tượng của resin nano ceramic đến từ độ bền uốn 200 MPa, làm cho Lava Ultimate trở thành một phục hình CAD/CAM cứng chắc với độ bền uống lý tưởng.

Độ giòn tự nhiên thấp cho phép phục hình Lava Ultimate dễ cắt với chất lượng các góc cạnh sắc sảo.

(l.to r.) Lava™ Ultimate Restorative, feldspathic glass ceramic, lithium disilicate
Hình ảnh phóng đại của một inlay được cắt bằng hệ thống CAD/CAM. Lava™ Ultimate cho thấy đường viền phục hình rất ít nứt vỡ hơn so với sứ thủy tinh, bao gồm lithium disilicate.
Source: 3M™ ESPE™ internal data
Vật liệu resin nano ceramic có biên độ đàn hồi tương tự ngà răng – tức thấp hơn rất nhiều so với độ giòn của các vật liệu sứ thủy tinh hoặc sứ kim loại. Điều này làm cho Lava Ultimate hấp thu lực nhai tốt hơn và giảm thiểu chấn động lên phục hình – lợi điểm này còn đặc biệt có ích cho các phục hình trên implant.

Lava™ Ultimate Restorative Shock absorbency The periodontal ligament is removed by the implant procedure, which removes shock absorbance or sensory function - so the crown may fracture or chip.
Bạn có thể tìm thấy hiệu quả nhanh chóng bằng các lợi điểm chức năng và thao tác
Cho dù bạn có hệ thống tại ghế hay không, vẫn có nhiều lý do để bạn ưa thích Lava Ultimate bởi các đặc tính cứng, đàn hồi và dễ điều chỉnh. Đó thật sự là một vật liệu CAD/CAM hoàn hảo.
Less wear to opposing dentition Enamel Volume Loss (mm2) measured in two-body wear
Source: University of Minnesota
Công nghệ nano bên trong mang đến vẻ đẹp, độ bóng dài lâu bên ngoài. Thật sự là chỉ mất vài phút để làm cho phục hình Lava Ultimate sau khi cắt trở nên rạng ngời, bóng đẹp như men răng thật. Các thử nghiệm lâm sàng đã chứng minh độ bóng loáng này sẽ tồn tại lâu dài và không cần nung nướng.
Phục hình Lava có thể được hoàn tất chỉ trong vài bước.
Phục hình Lava Ultimate – được thiết kế cho vẻ đẹp lâu dài

Lava™ Ultimate Restorative wears far less on opposing dentition compared to glass ceramic materials

Nghiên cứu này cho thấy phục hình Lava Ultimate là vật liệu duy nhất có thể duy trì độ cứng ban đầu khi thay đổi từ môi trường khô sang ướt. Tuy nhiên, tất cả các vật liệu cho thấy sự giảm độ bền sau một quá trình thử nghiệm độ mỏi trong nước.

(l to r) Lava™ Ultimate A2 , Lava™ Ultimate A2 Photo courtesy of Paulo Monteiro DMD, MSC, Assistent Professor

Lava™ Ultimate Exhibits Excellent Plaque Resistance
3M™ ESPE™ internal data
Mức độ màu thay đổi sau 7 ngày lưu trữ trong rượu đỏ ở 370C

Lava™ Ultimate Exhibits Excellent Stain Resistance Like Glass Ceramics
3M™ ESPE™ internal data
Dried biomass in mg/cm²(grown in human saliva for 26 hours)

Lava™ Ultimate Exhibits Excellent Plaque Resistance
3M™ ESPE™ internal data
Thể tích múi răng bị mất trong test mòn 2 bề mặt với đĩa vật liệu. Lava Ultimate cho thấy kết quả ít mòn men răng đối diện hơn vật liệu sứ thủy tinh.

Source: University of Minnesota.
(MPa)

Lava™ Ultimate Restorative has similar or higher compressive strength than leading chairside materials.
Source: 3M™ ESPE™ internal data.
(MPa)

Flexural Strength is measured using dry bars of the materials. Initial strength of Lava™ Ultimate Restorative is superior to the majority of chairside materials, except IPS e.max CAD blocks.
Source: 3M™ ESPE™ internal data.
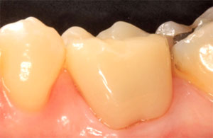
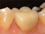
Một mão răng bị vỡ bán phần với vật liệu sứ thủy tinh được thay thế với một mão được cắt từ Lava Ultimate.


(l to r) Old Glass Ceramic Restoration, New Lava™ Ultimate Restored Tooth
Clinical case and pictures by Dr. Zafiriadis


© 2013 Lava™, All Rights Reserved. Thông Tin Pháp Lý | Chính Sách Bảo Mật

